“创业、敬业、奉献、进取;团结、仁爱、互助、务实”。创业者,不是专指老板,而是指那些试图不断地提高自己的认知、达成更新式的协作、开拓人类文明新边界的人。 创业,是一群人为了一个共同的愿景,一起踏上令人激励的路程。 “六一节”刚过,初夏刚至,正是一年好时光!生活富有趣味,只要我们多用点心去发现。即使年华老去,但岁月不欺,带着如雾如雨的回忆,带着对生命的敬畏和憧憬,愿我们半生归来,依然童心相伴。热爱这诗意的红尘烟火,热爱这生命的细水长流,热爱我们所进行中的事业。 
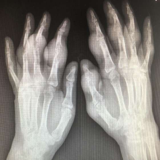
2021年6月2日大交班晨会病区部分病例分享如下: 病例1:男性患者,62岁,因“右拇指红肿痛破溃2天”入院。患者有高血压病史20余年、“痛风”病史10余年。入院诊断:右拇指痛风性溃疡、双手多发性痛风性结节、左手1-5指右手示中环指痛风性关节炎、双足多发痛风性结节、双足趾痛风性关节炎......。 


(患者双手多发痛风结节)
入院后给予痛风石清理术、清创缝合术,术后切口顺利愈合。
四病区周小洋主任进一步对患者病情进行了介绍。该患者的双手、双足多发痛风结节,并且已经发展到韧带严重受损。即使手术后,功能也很难恢复。该病例说明,目前全社会对于糖尿病、高血压的防治、宣教工作做得不错,患者普遍接受了需要长期、终身治疗以预防并发症的理念。但是痛风的防治、宣教工作还做得不够。许多患者认为,“痛风”就是急性“关节炎”,不痛就不需要治疗,最终以至于发展到关节、韧带严重受损,甚至脏器功能严重损害。 周主任又详细介绍了痛风石清理术的操作细节,进一步阐述了该类手术容易手术切口不愈合的风险,及造成不愈合的可能原因、操作注意事项。
丁院长建议,经管医生制作宣传手册,对于来我院就诊的高尿酸血症、痛风患者进行宣教。 宣教栏目: 临床上治疗痛风的方法有以下几种: 1、限制高嘌呤食物; 2、限制饮酒,酒精可代谢成乙酸,减少尿酸的排泄; 3、多饮水,增加尿酸排泄; 4、适当碱化尿液; 5、积极减肥,少吃含糖食物和少喝饮料;
6、长期控制血尿酸在正常范围内,可能需要长期、终身服用药物。 痛风石的治疗,主要采用溶解和排泄尿酸盐、降尿酸药和手术等方法进行治疗。同时因为巨大的痛风石形成以后,对局部骨质产生破坏,手术清理以后在骨质局部留下骨质缺损,需要通过关节植骨进行修复,而植骨以后的关节将形成关节僵硬,最终会造成关节功能损失。所以痛风石的治疗应当从源头抓起,以防治为主,预防痛风石的产生,控制好高尿酸血症,防止痛风石的发生,才是治疗痛风石的最根本治疗手段。
手术指征:痛风性关节炎一般是需要通过药物来进行治疗的,患者进行手术治疗的指征有以下几点。 第一、痛风石巨大,严重影响了患者的关节功能,比如足趾关节出现的巨大痛风石,严重影响了足趾关节的功能和足部的活动,使患者无法正常行走,可以通过手术的方法行痛风石剥除术,剥离巨大的痛风石,来恢复关节的功能。 第二、出现关节明显骨质破坏、畸形的患者,可以通过手术的方法进行矫形治疗,来改善关节的功能。 患者在手术治疗之后依然是需要通过药物治疗,来控制痛风的发作,以及降低血尿酸水平。 痛风患者饮食推荐:痛风患者应避免高嘌呤饮食。 
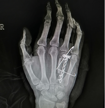
病例2:女性患者,42岁,1年半之前因摔伤到宁波某医院诊疗,行“第4掌骨骨折切复钢板螺钉内固定术”。术后一年半复查发现内固定钢板断裂并骨折未愈合,因此患者转来我院就诊。 入院前影像学检查提示:右手第4掌骨骨折线清晰,边缘硬化,内固定钢板折断。  
手术方案:内固定拆除,取髂骨,第4掌骨植骨钢板螺釘内固定术。术中给予骨不连两端截去硬化灶;截取髂骨塑型嵌入。 
经管医师汇报了手术过程中,特别是植骨过程中的重要细节,如如何取髂骨应对去除骨折端硬化灶后出现的1cm宽缺隙。对于该患者,还需要继续加强术后沟通交流,很可能会采取PRP治疗以促进骨折愈合。
刘立春副院长建议,术后加支具,有利于骨折部位的愈合。
丁院长介绍了支具的灵活应用方法,并再次强调,对于该类患者,应特别注意加强术前、术后沟通交流。 什么是奋斗?奋斗就是每一天都很难,可一年比一年容易。不奋斗就是每一天都很容易,可一年比一年越难。人生最大的魅力就在于未来不可知,因为未来不可知,所以每一个人都有改变自己命运的奋斗空间。 试想,如果人生可以逆袭,那为什么不能是你?不努力一下,你永远也不知道自己的潜力有多大,永远也不知道自己的极限有多高!
|