一年中最令人流连忘返的季节来了,紫燕剪细了东风,鸟儿叫绿了山川,蝴蝶邀来了百花,徜徉在春风里,柳梢抚上肩头,一不留神,便惹了一身翠烟。在这个美好的时刻,让我们取一瓢岁月的慈悲,煮一壶光阴的茶,继续新桥骨科晨会大交班的灵魂之旅。 
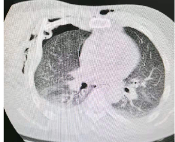
2021年5月12日一病区大交班晨会病区部分病例分享如下: 病例1:多发肋骨骨折合并血气胸。患者因“工作时被机器卷伤致右胸、右肩及右前臂”入院。入院诊断:1、右胸多发性肋骨骨折合并血气胸;2、右桡骨中下段粉碎性骨折;3、右肩胛骨骨折;4、右肺挫伤;5、右侧肩袖损伤;6、右侧肩锁韧带损失伤;7、右侧盂肱韧带损伤。  
(血气胸)(2-7肋骨骨折)(肩胛骨骨折) 在全麻+臂丛麻醉下行“右胸3-6肋骨骨折切复钢板螺钉内固定术、胸腔闭式引流术、右桡骨中下段骨折切复钢板螺钉内固定术”。  
(术后) 术后4天拔除胸腔闭式引流管。 
(术后4天) 刘立春副院长进一步对该患者病情进行了介绍。该患者皮下气肿较多、纵膈也有,对于多发肋骨骨折,应警惕是否存在张力性气胸。刘院长阐述了张力性气胸的应急处理措施,并强调了对于绞轧伤,应注意排除是否存在内脏损伤及神经损伤。
病例2:pilon骨折+骨筋膜室综合征。患者从约2米高处跳下时摔伤致右踝部肿痛伴活动受限。伤后急送象山某医院就诊治疗,拍片示“右胫骨远端粉碎性骨折”,行石膏外固定后,应患者要求转来我院就诊。  
(术前检查) 术前诊断:1、右踝pilon骨折;2、右小腿骨筋膜室综合征。 术前讨论: 1、右pilon骨折切复钢板螺钉内固定术 2、右pilon骨折切复外固定术; 3、单纯右小腿骨筋膜室综合征切开减压,二期在行内固定手术治疗? 4、右小腿VSD引流?一期缝合? 手术方案:右pilon骨折切复钢板螺钉内固定术+右小腿骨筋膜室综合征切开减压术+右小腿VSD引流术。 术中发现小腿皮肤张力好转明显,予以减张缝合;术后予以消肿止痛、抗感染及持续VSD冲洗等对症治疗,急诊术后一周拆除VSD。术后2天外敷料打开,切口未见明显皮肤坏死及感染。 、
病例思考: 1、患者为什么出现骨筋膜室综合征? ①骨折端粉碎出血较多? ②成年男性,体重较大(90kg); ③治疗时机耽误太久,受伤到我院已过4小时,没有得到及时处理? 2、如遇四肢肿胀明显,皮肤张力较大的患者,应多观察,必要时尽早手术减压,避免错过最佳时机,给病人造成不可逆损伤(如Volkmann挛缩); 3、对于四肢长骨骨折,存在明确手术指征,如身体情况允许,是否可行急诊手术治疗(减少术前准备时间,缩短住院天数,但存在风险较大,仍需讨论)。
病例3:踝关节镜距腓前韧带断裂修补。患者行走时扭伤右踝,因疼痛不能缓解入院。入院诊断:右距腓前韧带断裂,右下胫腓韧带撕裂,右跟腓韧带损伤。  
(踝关节镜手术) 术后康复:术后2周内踝关节主、被动屈伸锻炼;2周后开始踝关节旋转锻炼;4周后逐步负重。 朱大东主任强调,该类患者在门诊容易被漏诊。门诊接诊该类患者时,须认真做到“病史+查体+检查”,以避免漏诊。另外,B超检查对于早期筛查有意义。朱主任还阐述了不同手术治疗方式(关节镜、直接切开)的优劣对比。
你所并不熟悉的踝关节扭伤: 踝关节是全身负重最多的关节,医院急诊患者中踝关节扭伤占7-10%。 在放松跖屈位进行检查,当距骨前移超过5mm时,考虑ATFL(距腓前韧带)损伤。备注:并不是距骨简单的直线运动,而是以三角韧带为中心,足部被拉向前向内。 
孔雀迫人心魄的绽放背后,是她一生都拖着厚重的尾翎,坚持在无数个没有光彩的岁月里。对大多数人而言,拼不了父母,拼不了天赋,能拼的不就是咬紧牙关比别人多坚持一会儿吗?有人说:“那些十年后脚踩七色祥云的盖世英雄,如今都挤着地铁正在赶去加班的路上。”须先有日夜兼程的锤炼,然后才有价值连城的自己。 日积月累,功不唐捐,几年之后就是截然不同的人生。 对于心系罗马又加倍努力的人,世界总会留出一条路。
|